

Spark™ Junior offers a two-phase clear aligner treatment plan designed specifically for young patients. It supports continuous, custom orthodontic care from childhood through to adulthood- delivering the Spark smile that your patients will love.


Simplify your orthodontic practice with Class II correction integrated into your digital workflow


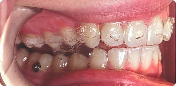
Spark™ BiteSync is a Class II Correction system that delivers synchronized mandibular advancement, maxillary distalization, and dental alignment without the need for a separate appliance. The system consists of an Occlusion Guide and a SideBar, connected and powered by Class II elastics, which can be used together or independently.

BiteSync is customized for every orthodontic patient’s needs within the Spark software. Simply select the Spark BiteSync option within the DTX portal, then design and approve the case.


The elegant yet robust design provides the durability, efficiency, and yet flexibility that you need to treat children with mixed dentition, as well as teens.

BiteSync Class II Correction System
BiteSync is an integrated system for synchronized mandibular advancement, maxillary distalization, and dental alignment, based on proven biomechanics. BiteSync is available with Spark Junior Phase 1 and Phase 2.

Tailored functionalities
Meets the specific needs of young patients’ treatment. All standard features, depending on crown size and its relationship to adjacent or antagonistic teeth, will be available for Spark Junior.

Practice-friendly
Designed to fit seamlessly into your orthodontic practice, supporting both patient outcomes and operational ease. Take as much time as needed between Phase 1 and Phase 2.

Comfortable and transparent
Made with Spark’s TruGEN™ material, ensuring a comfortable fit with a discreet appearance.¹ TruGEN™ XR is also a recommended option for young patients.

This is Annabelle’s

Ormco supports you with all the necessary marketing material to explain to parents and children why clear aligners could be the optimal treatment option.




Schedule a demo

Attend a free onboarding call

We create your Spark account, Spark providers get a free marketing toolbox and can be featured on the Doctor Locator at sparkaligners.com
