Spark™

Zaprojektowane tak, aby odpowiadały potrzebom ortodontów

Spark™

Spark™ Junior

Clear aligner treatment tailored for kid and teen patients

Spark™ Junior

Spark™ Retainers

Designed to keep great smiles

Spark™ Retainers

Damon Ultima™

Pierwszy system SL z pełną ekspresją parametrów zapisanych w zamkach

Damon Ultima™

Ormco™ Digital Bonding

Zaawansowany technologicznie zamek ceramiczny o wyrafinowanej wytrzymałości i estetyce

Ormco™ Digital Bonding

Symetri™

Zaawansowany technologicznie zamek ceramiczny o wyrafinowanej wytrzymałości i estetyce

Symetri™

DEXIS™ IOS

Skanery wewnątrzustne

DEXIS™ IOS

ZAMKI

Kwintesencja najwyższej jakości i niezawodności.

ZAMKI

ŁUKI ORTODONTYCZNE

Przewidywalne rezultaty

ŁUKI ORTODONTYCZNE

PIERŚCIENIE I KORONY

Nowoczesność w zgodzie z anatomią

PIERŚCIENIE I KORONY

RURKI POLICZKOWE

Rurki i pierścienie gwarantujące niezawodną adhezję

RURKI POLICZKOWE

SYSTEMY ŁĄCZĄCE I KOMPOZYTY

Maksymalna siła adhezji, maksymalna wygoda

SYSTEMY ŁĄCZĄCE I KOMPOZYTY

APARATY WEWNĄTRZ- I ZEWNĄTRZUSTNE

Prosty, inteligentny i skuteczny projekt

APARATY WEWNĄTRZ- I ZEWNĄTRZUSTNE

PRODUKTY HORYZONTALNE

Odkryj wszystkie linie naszych produktów pomocniczych

PRODUKTY HORYZONTALNE

CASE REPORT

Spark™ treatment of teenager with moderate dento-maxillary discrepancy

This article describes a treatment with Spark Clear Aligners in a 14 year-old patient, with moderate DDM (Dento-Maxillary Disharmony), narrow arches, biproalveoli and hyperdivergence of the bony bases.

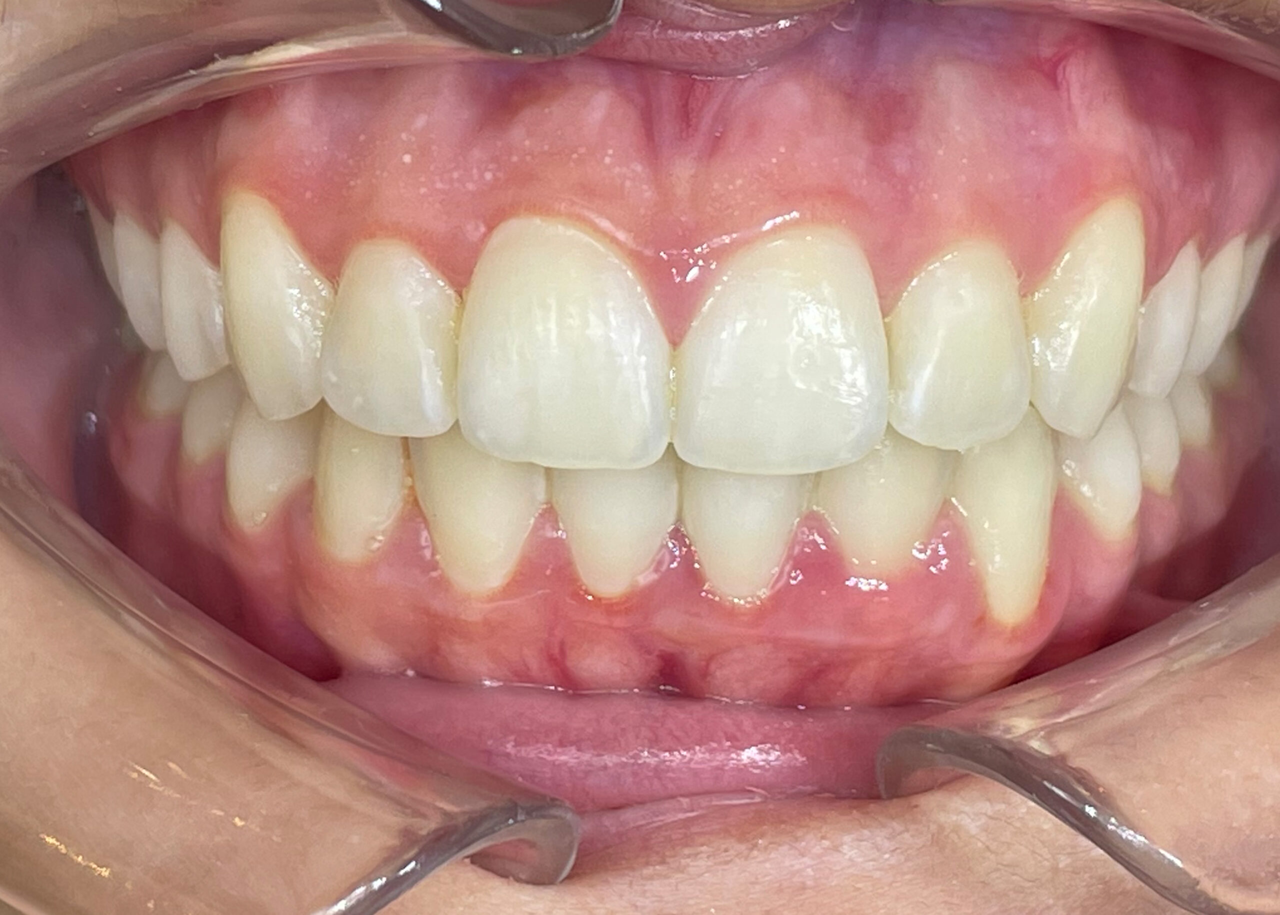
BEFORE
AFTER

Dr. Pierre-Antoine Dian*, Belgium

Passionate about orthodontics, Pierre-Antoine Dian invests a lot in his profession by trying to stay updated with all the new technological advances. He directs his practice of orthodontics towards efficiency, simplification of treatments and shortening of treatment times.

  • Graduated in dental science from the Catholic University of Louvain (Brussels).
  • Specialist in orthodontics and dentofacial orthopedics from the Catholic University of Louvain (Brussels).
  • Key expert at Spark.

Description of treatment plan

First, the treatment protocol was the transverse development of the arches (>2mm) in order to correct the DDM (Dento-maxillary disharmony) with the following protocol:

  • Expansion of the arches from 6 to 6 and distal rotation of the 6.
  • Toe in and distal rotation of 7.
  • Overcorrection of 10° of buccal root torque has been added in order to avoid molars and premolars proclination due to the expansion

In addition, button cut-outs at 36 , 46 and hooks at 13 , 23 have been placed in order to wear Class II elastics (Bear 4.5 Oz 1/4’’). A 1 mm antero-posterior jump was prescribed to simulate the patient‘s mandibular growth. Dr. Dian opted for a Spark 20 with 20 active aligners and TruGEN™ as material. 

Final position of the primary order

Position 1 of the refinement

Frontal position 1 of the refinement

Left position 1 of the refinement

What was the purpose of the refinement order?

We note from the photos that the extrusion of 2.2 was not fully expressed at the end of the first series of treatment despite the placement of a beveled gingival attachment.

Since the extrusion movement on the upper lateral incisors “teeth with very little retentive due to their small size” is one of the most difficult movements to perform. For this, Dr. Pierre-Antoine Dian advises in this case to opt for the “Hamac” technique during the refinement phase.

This technique began two weeks before the end of the treatment and it consists of placing double buccal and palatal buttons on the tooth concerned after having previously cutouts on the aligner and attaching an elastic in „Hamac“ (Impala 6 Oz, 3/ 16‘‘) to help with extrusion and improve the fit of the tooth in the aligner (see photos below). The refinement required 7 active aligners with TruGEN XR™ as material.

  • It should be noted that Dr. Dian removed the rectangular horizontal attachment during the “Hamac” technique, which was initially added in the refinement phase, in order to allow the extrusion of 2.2.
  • During the 1st stages of refinement and as shown in the photos, Dr. Dian added a Caplin hook on the 3.3 during treatment in order to improve its bite with the opposite arch. For this he used button cutting pliers.
  • Dr. Dian‘s advice for managing complex movements on small coronary surfaces is to put an attachment on these teeth, as large as possible in order to have maximum anchorage.

N.B : Class II elastics
continued to be worn during
the refinement phase to play
on the patient‘s growth
potential.

Conclusion

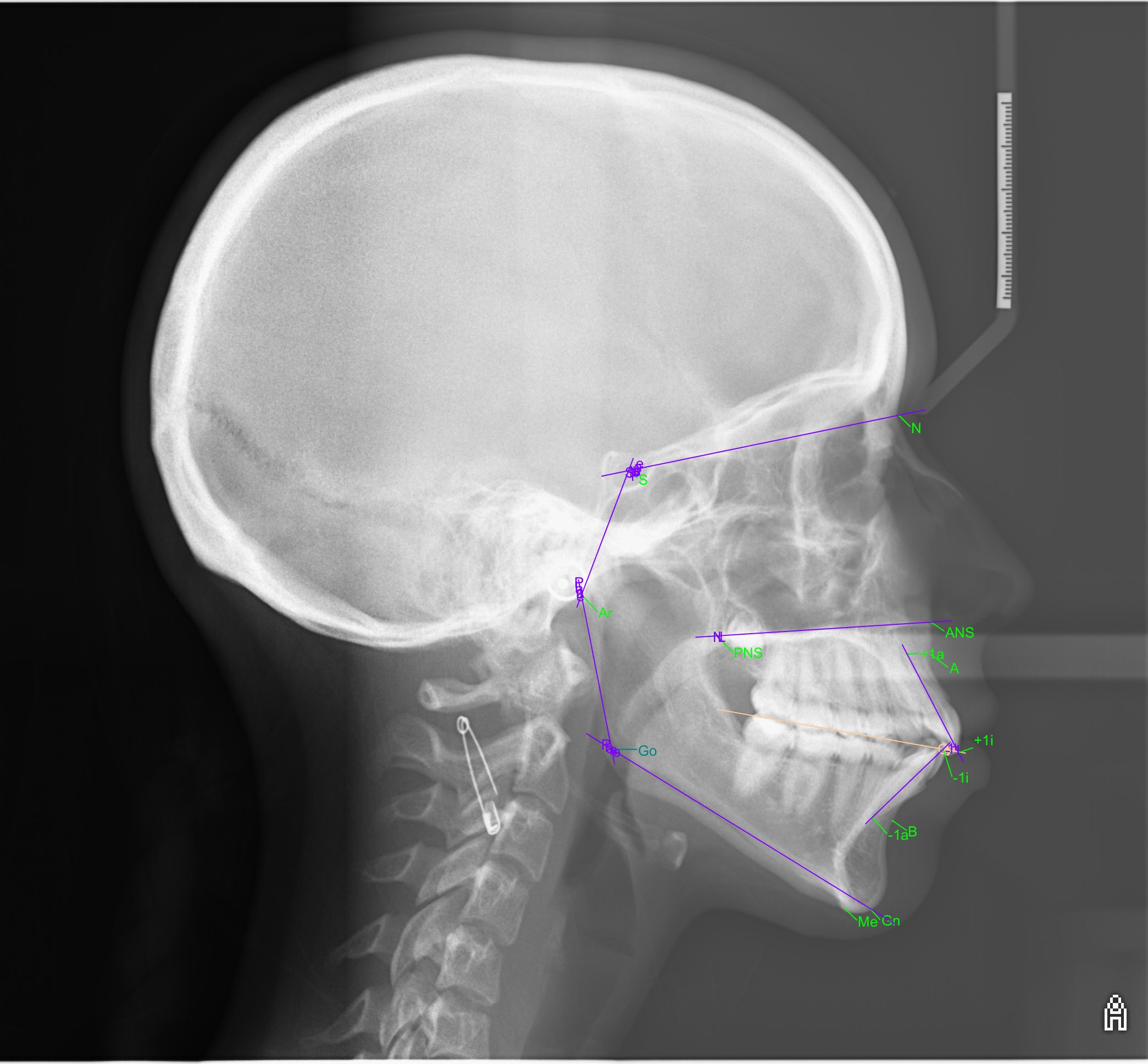
At the end of the treatment, which means only 8 months later, the control cephalometric analysis shows an improvement in the incisor axes despite the correction of a moderate DDM.

The Spark Aligners therefore enabled Dr. Pierre Antoine-Dian to obtain a good expansion of the arches, perfect torque control and resolution of the anterior crowding thanks to the protocols used and the predictability of the movements as well as the flexibility provided by Approver Software.

* Dr. Pierre-Antoine Dian is a paid consultant for Ormco. The opinions expressed are those of Dr. Pierre-Antoine Dian. Ormco is a medical device manufacturer and does not dispense medical advice. Clinicians should use their own professional judgment in treating their patients.